혹시 식사 후에
속이 더부룩하고 쓰리거나
명치 부근에 찌르는 듯한 통증을
느껴본 적 있으신가요?
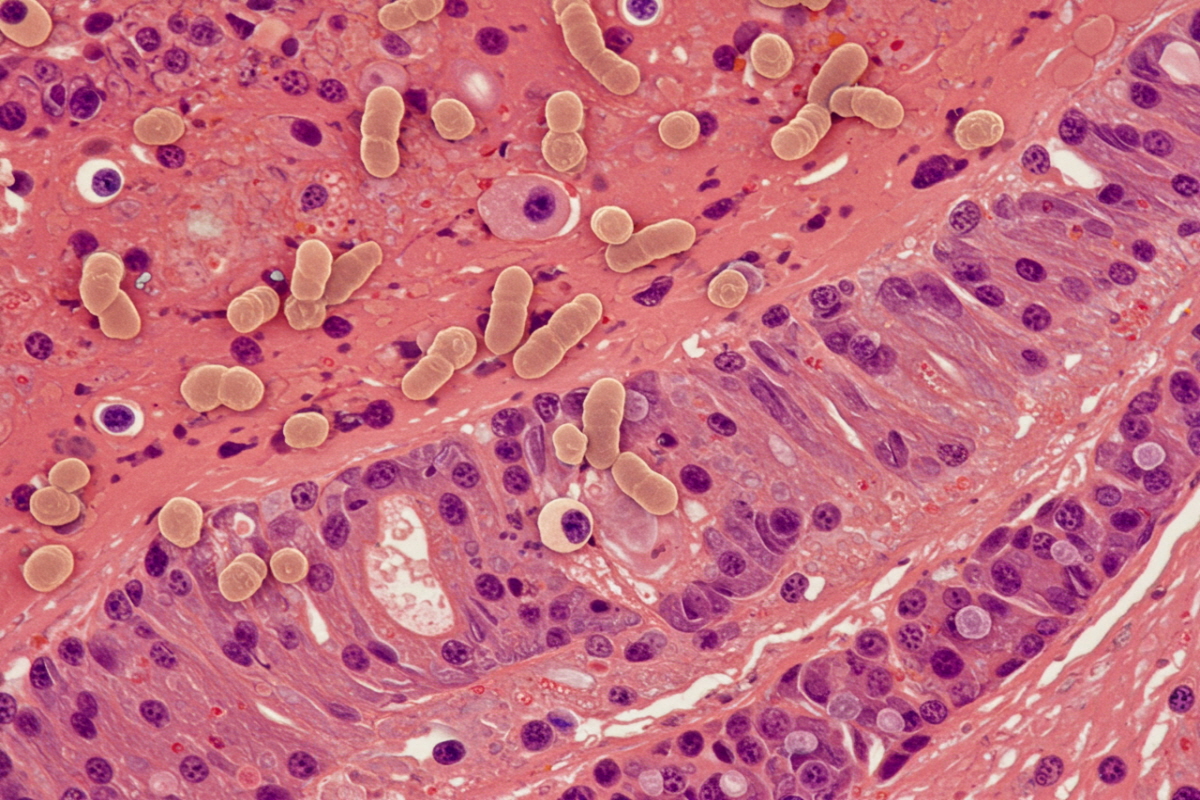
😰 저도 몇 달 전부터 소화불량과 속 쓰림이 심해져서 병원을 찾았는데, 헬리코박터균 감염이라는 진단을 받았습니다. 헬리코박터균은 위 점막에 기생하면서 염증을 일으키는 나쁜 균인데, 위염, 위궤양, 십이지장 궤양, 심지어는 위암까지 일으킬 수 있다고 해서 정말 깜짝 놀랐어요. 😱 하지만 좌절하지 않고 헬리코박터균 박멸을 위한 여정을 시작했습니다! 💪


이 글에서는 제가 직접 경험한 헬리코박터균 약 복용 후기와 함께, 치료 과정, 주의 사항, 그리고 헬리코박터균을 예방하는 생활 습관까지 꼼꼼하게 알려드릴게요. 😉 혹시 지금 헬리코박터균 때문에 고민하고 계시다면, 제 경험이 조금이나마 도움이 되기를 바랍니다. 🙏
1. 헬리코박터균 약, 뭘 먹어야 할까? 🤔
헬리코박터균은 위산 속에서도 살아남는 강력한 생존력을 가진 균이기 때문에, 단순히 위산을 억제하는 약만으로는 제거하기 어렵습니다. 따라서 헬리코박터균 치료에는 일반적으로 항생제, 위산분비억제제, 그리고 비스무트 제제가 포함된 약을 복용하게 됩니다.


의사 선생님께서는 제 몸 상태와 헬리코박터균의 항생제 내성 여부를 확인하기 위해 위내시경 검사와 함께 조직 검사를 진행하셨고, 그 결과에 따라 저에게 맞는 약을 처방해 주셨습니다. 제가 복용했던 약은 아목시실린, 클래리스로마이신, PPI (프로톤 펌프 억제제), 그리고 비스무트였어요. 약 종류가 많아서 처음에는 좀 당황스러웠지만, 약사님께서 친절하게 복용 방법을 설명해 주셔서 걱정을 덜 수 있었답니다. 😊


💊 약 복용 꿀팁!
- 정해진 시간에 규칙적으로 복용하기: 저는 알람을 맞춰놓고 아침, 저녁 식후 30분 후에 약 먹는 시간을 놓치지 않으려고 노력했어요. ⏰ 규칙적인 약 복용은 치료 효과를 높이는 데 매우 중요해요!
- 약 복용 후 30분 정도는 공복 유지하기: 약효가 위장에서 제대로 흡수될 수 있도록 식사 전후 30분 정도는 공복을 유지하는 것이 좋습니다.
- 비스무트 제제는 변 색깔을 검게 변화시킬 수 있어요: 처음에는 검은색 변을 보고 깜짝 놀랐지만 😅, 약사님께서 미리 알려주신 덕분에 당황하지 않을 수 있었어요.
- 혹시 모를 부작용에 대비하여 의사, 약사와 상담하기: 저는 약 복용 후 약간의 속 메스꺼움을 느껴서 약사님께 문의했더니, 흔하게 나타날 수 있는 부작용이라고 하시면서 걱정하지 않아도 된다고 안심시켜 주셨어요. 😊


2. 헬리코박터균 약, 이것만은 주의하세요! ⚠️
헬리코박터균 약은 대체로 안전하지만, 주의해야 할 사항들이 몇 가지 있습니다. 특히, 아래 사항에 해당하는 경우에는 약 복용 전에 의사와 충분한 상담을 하는 것이 중요합니다.
- 임산부, 수유 중인 여성: 태아나 아기에게 영향을 미칠 수 있는 약 성분이 있을 수 있으므로, 반드시 의사와 상담 후 복용하세요. 🤰
- 특정 질환: 간 질환, 신장 질환 등을 앓고 있는 경우, 약물 대사에 영향을 미칠 수 있으므로 의사에게 알려야 합니다.
- 알레르기: 약 복용 후 발진, 가려움증, 호흡곤란 등의 알레르기 반응이 나타나면 즉시 복용을 중단하고 병원을 방문하세요.
- 다른 약물과의 상호작용: 현재 복용 중인 다른 약물이 있는 경우, 헬리코박터균 약과의 상호작용이 발생할 수 있으므로 의사 또는 약사에게 알려야 합니다. 💊
- 항생제 내성: 항생제를 오남용 하면 내성이 생길 수 있으므로, 의사의 처방 없이 임의로 복용하지 마세요.
- 금주, 금연: 치료 기간 동안에는 금주, 금연을 실천하여 치료 효과를 높이고 간에 부담을 줄여주세요. 🚭


3. 헬리코박터균, 다시는 만나지 말자! 예방 생활 수관 🚫🦠
헬리코박터균은 재발하기 쉽기 때문에, 치료 후에도 꾸준한 관리가 중요합니다. 제가 실천하고 있는 예방 생활 수칙들을 소개할게요.
- 손 씻기: 외출 후, 화장실 사용 후, 식사 전후에는 반드시 꼼꼼하게 손을 씻어요. 🧼 특히, 비누를 사용하여 30초 이상 손가락 사이사이와 손톱 밑까지 깨끗하게 씻는 것이 중요합니다.
- 개인 식기 사용: 헬리코박터균은 침이나 음식을 통해 전염될 수 있으므로, 가족끼리라도 개인 식기를 사용하는 것이 좋습니다. 🍽️ 또한, 찌개나 국처럼 여러 사람이 함께 먹는 음식은 개인 접시에 덜어 먹는 것이 안전합니다.
- 익힌 음식 섭취: 헬리코박터균은 열에 약하기 때문에, 음식은 충분히 익혀 먹는 것이 안전해요. 🔥 특히, 육류와 생선은 충분히 가열하여 섭취하고, 날것으로 먹는 채소는 깨끗하게 씻어 먹어야 합니다. 🥗
- 스트레스 관리: 스트레스는 면역력을 저하시켜 헬리코박터균 감염에 취약하게 만들 수 있으므로, 적절한 스트레스 관리가 필요해요. 😌 명상, 요가, 음악 감상 등 자신에게 맞는 스트레스 해소 방법을 찾아 실천해 보세요! 🧘♀️🎶
- 규칙적인 운동: 꾸준한 운동은 면역력을 높여 헬리코박터균 감염 예방에 도움이 된답니다. 🏃♀️ 일주일에 3회 이상, 30분 정도 땀이 날 정도로 운동하는 것을 목표로 해 보세요!
- 정기적인 검진: 헬리코박터균 감염은 증상이 없는 경우가 많으므로, 정기적인 위내시경 검사를 통해 감염 여부를 확인하는 것이 좋습니다. 👨⚕️ 특히, 위암 가족력이 있거나 위 질환을 앓았던 경험이 있는 경우에는 정기적인 검진이 더욱 중요합니다.



4. 헬리코박터균 완치, 가능할까요? 🤔
네, 가능합니다! 😄 꾸준히 약을 복용하고 생활 습관을 개선하면 헬리코박터균을 완치할 수 있어요! 저도 처음에는 걱정이 많았지만, 의사 선생님의 지시에 따라 꾸준히 약을 복용하고 생활 습관을 개선한 결과, 헬리코박터균 검사에서 음성 판정을 받았답니다! 🎉 하지만 완치 후에도 재감염될 수 있으므로, 꾸준히 예방 수칙을 실천하는 것이 중요해요. 😉


FAQ
Q. 헬리코박터균 약, 얼마나 복용해야 하나요?
A. 일반적으로 1~2주 정도 복용하지만, 헬리코박터균 종류, 약물 종류, 환자의 상태에 따라 복용 기간이 달라질 수 있습니다. 의사의 처방에 따라 꾸준히 복용하는 것이 중요합니다.
Q. 헬리코박터균 약, 부작용은 없나요?
A. 흔하게 나타나는 부작용으로는 설사, 메스꺼움, 복통, 두통, 어지러움 등이 있으며, 심각한 부작용은 드뭅니다. 부작용이 나타나면 의사 또는 약사와 상담하세요.
Q. 헬리코박터균 약, 복용 중 음주해도 되나요?
A. 치료 효과를 높이고 간에 부담을 줄이기 위해, 치료 기간 동안에는 금주하는 것이 좋습니다. 술은 위 점막을 자극하여 염증을 악화시킬 수 있습니다.
Q. 헬리코박터균, 예방 접종이 있나요?
A. 아직까지 효과적인 헬리코박터균 예방 접종은 개발되지 않았습니다. 하지만, 꾸준한 연구를 통해 백신 개발이 진행되고 있다고 하니, 기대해 봐도 좋겠습니다.
Q. 헬리코박터균, 가족에게 전염되나요?
A. 네, 헬리코박터균은 침이나 음식을 통해 가족 간에 전염될 수 있으므로, 개인위생에 신경 쓰는 것이 중요합니다.


마무리
지금까지 헬리코박터균 약에 대한 모든 것을 알아보았습니다. 헬리코박터균은 위 건강을 위협하는 나쁜 균이지만, 꾸준한 치료와 관리를 통해 충분히 이겨낼 수 있습니다. 😊 오늘부터 헬리코박터균 예방 수칙을 실천하고, 건강한 위를 지켜내세요! 💪


💖 글이 도움이 되셨다면 좋아요와 구독 부탁드립니다! 💖
💯블로그 인기 글 구경하기
속 편하고 면역력 튼튼! 💪 나에게 딱 맞는 유산균 찾는 법 🧭
아침에 일어나면 속이 더부룩하고, 조금만 피곤해도 감기에 걸리는 것 같아 걱정이신가요? 🤔주변에서 유산균이 좋다고 해서 열심히 챙겨 먹고 있는데, 솔직히 "이게 정말 효과가 있나?" 싶을
earthlylife.kr
감기약, 제대로 알고 먹자! 🤧 똑똑한 선택 가이드 💊
갑자기 찾아온 감기! 콧물, 기침, 두통에 몸살까지… 😷 이럴 때 우리는 흔히 약국으로 달려가 감기약을 찾죠. 하지만 약국 진열대에는 끝없이 많은 종류의 감기약들이 놓여 있고, 어떤 약을
earthlylife.kr
'건강이야기' 카테고리의 다른 글
| 간수치가 높으면 나타나는 증상? 혹시 나도 간 질환?! [자가 진단 체크리스트 & 관리법] (3) | 2024.12.23 |
|---|---|
| 당뇨 다이어트 약, 효과와 부작용 그리고 선택 가이드 (7) | 2024.12.22 |
| 헬리코박터균 치료, 이것만 알면 완벽 정복! (0) | 2024.12.21 |
| 수면 무호흡증 치료, 이제 꿀잠 주무세요! (feat. 최신 진단법 & 다양한 치료법) (5) | 2024.12.21 |
| 목감기 빨리 낫는 법, 완벽 가이드! (5) | 2024.12.18 |